56M Spastic Quadriparesis 5 years WB PaJR

This is an online E log book to discuss our patient's de-identified health data shared after taking his/her/guardian's signed informed consent.


Here we discuss our individual patient's problems through series of inputs from available global online community of experts with an aim to solve those patient's clinical problems with collective current best evidence based inputs.
The PHR, patient journey record PaJR transcripts below reflect the therapeutic uncertainties around the patient and their resolution through team based learning :

Clinical examination: 
https://youtu.be/DCVtAXdip_k?feature=shared

Gait : https://youtube.com/shorts/FgqpexpUfY4?feature=shared


[12/26, 12:26 PM] PaJR PHR Moderator: OPD encounter with long distance IPD patient admitted yesterday.

Videoed and signed informed consent taken before archiving in the link below thanks to @⁨doctor1

https://youtu.be/DCVtAXdip_k?feature=shared

Patient is from WB but his problem is something that is often seen in Nalgonda and Narketpally in terms of etiology of the problem!

His son is an MSc Math in Kolkata while the parents live in a rural area and he appears to have discovered a (new for me) neurological sign! @⁨doc2 @⁨doc3 ⁩ should be able to review the literature on the sign and share here.

Have shared that in the video!
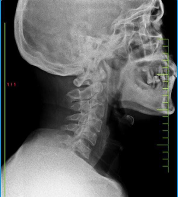
[12/26, 12:41 PM] PaJR PHR Moderator: 👆Picture of the anatomic and etiologic neurological localization in a simple cervical spine x-ray



[12/26, 12:43 PM] PaJR PHR Moderator: 👆Picture of the anatomic localisation where the same calcifications visible in the x-ray appear in black wavy shades behind the cervical vertebrae along the posterior longitudinal ligament
[12/26, 12:47 PM] PaJR PHR Moderator: Complete imageology overview of the spine
[12/27, 4:57 PM] PaJR PHR Moderator: Planned for laminectomy and screw fixation but these lateral mass instruments are costing 70,000!👇

https://m.indiamart.com/proddetail/lateral-mass-screw-instrument-set-2853665217488.html

[12/27, 10:06 PM] PaJR PHR Moderator: @⁨PAJR_TRAINEE⁩ to prepare this case report you can gather the full history from the patient advocate @⁨PA here

[12/27, 10:09 PM] PAJR_TRAINEE: Ok



Popular posts from this blog

63M Metabolic syn Dyspnea 2 years WB PaJR layered case report 2

63M Metabolic syn Dyspnea 2 years WB PaJR (Previous)

52M Hypertension, Diabetes 5 years WB PaJR From November 2024